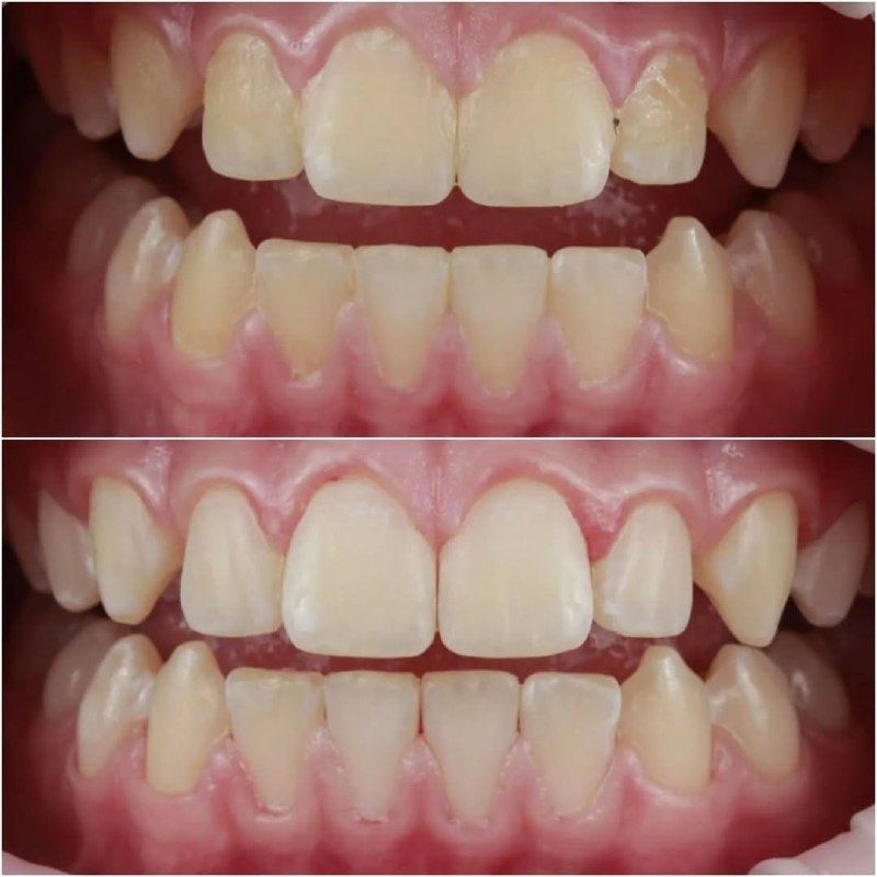
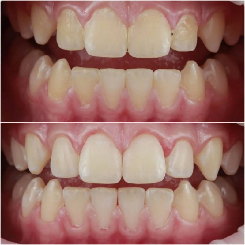
Мягкий налет на зубах — это не просто kosmetическая проблема, а серьезная угроза для здоровье полости рта. В отличие от зубного камня, который легко заметить, мягкий налет может обитать незаметно, но его опасности нельзя игнорировать.
Как мягкий налет вреден?
В этом типе налета содержится множество патогенных микроорганизмов, которые способны разрушать эмаль зубов. Эти микробы выделяют кислоты, что приводит к атаке на эмаль, вызывая процесс деминерализации и формируя кариозные полости.
Почему важна гигиена полости рта?
- Ежедневная гигиена: Режим чистки зубов, использование зубной нити и ополаскивателей — все это надежные методы борьбы с мягким налетом и предотвращения серьезных последствий.
- Профессиональная помощь: Регулярное обращение к врачу-гигиенисту обеспечит качественную гигиену полости рта и индивидуализированные рекомендации по уходу за зубами.
Какие рекомендации следует учитывать?
Специалист поможет подобрать эффективные средства и методики ухода, которые будут учитывать особенности зубного ряда каждого пациента. Заботясь о гигиене полости рта, можно не только сохранить здоровье зубов, но и предотвратить получение множества стоматологических заболеваний в будущем.































